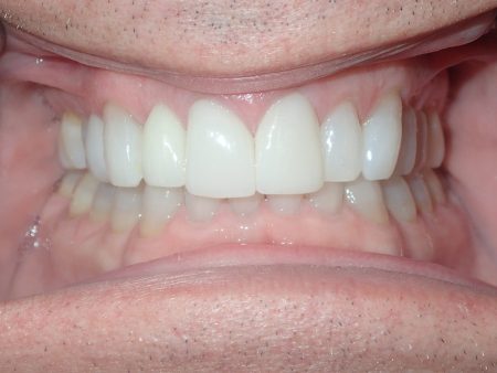
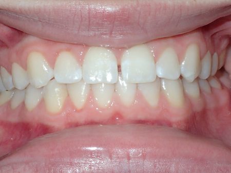
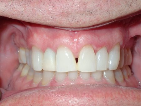
A sample of some of our actual patients who have happily regained their smileBeforeAfterBefore After BeforeAfterBefore After BeforeAfterBefore After BeforeAfterBefore After